México es uno de los países con más casos de diabetes en el mundo; el número de personas afectadas por este padecimiento se ha incrementado en nuestro país durante los últimos años y, en consecuencia, también el riesgo de sufrir de enfermedades oculares asociadas con la diabetes. A continuación, te explicamos más sobre cómo la diabetes afecta la salud visual y cómo prevenir la pérdida de visión a causa de esta condición de salud.

¿Qué impacto tiene la diabetes en los ojos?
La diabetes es una enfermedad crónico-degenerativa que altera la capacidad que nuestro cuerpo tiene para producir o utilizar adecuadamente la insulina que controla los niveles de glucosa (azúcar) en la sangre.
En especial si no se controlan por tiempo prolongado, los niveles altos de glucosa dañan muchas partes del cuerpo; los ojos no son la excepción ya que una concentración elevada de azúcar en la sangre afecta los vasos sanguíneos de la retina y puede causar pérdida de visión.
Por ello, la detección temprana es clave para prevenir el deterioro permanente de la visión y es que la ceguera por diabetes puede prevenirse en la mayoría de los casos.
¿Cuáles son los padecimientos oculares causados por la diabetes?
La diabetes puede causar varios problemas visuales que en su conjunto se denominan como enfermedades oculares diabéticas; si se detectan a tiempo, estos padecimientos pueden ser tratados para evitar la pérdida de visión. Estas enfermedades son la retinopatía diabética, el edema macular diabético, las cataratas y el glaucoma.

Retinopatía diabética
La retinopatía diabética es una de las principales causas de ceguera reversible en nuestro país y ocurre cuando los niveles altos de glucosa en la sangre dañan los vasos sanguíneos de la retina. Estos vasos tienen una función deficiente, algunos dejan escapar fluidos o bien se cierran por completo mientras que por otro lado también hay formación de nuevos vasos sanguíneos que crecen anormalmente en la superficie de la retina.
La retinopatía diabética tiende a afectar ambos ojos y en etapas tempranas no suelen manifestarse síntomas; sin embargo, a medida progresa algunos de ellos pueden ser visión variable entre borrosa y clara, aparición de manchas, puntos o áreas oscuras en el campo de visión y percepción alterada de colores. El riesgo de desarrollar retinopatía diabética aumenta entre mayor sea el tiempo que alguien haya tenido diabetes.

Edema macular diabético
El edema macular diabético es una complicación secundaria a la acumulación de líquido en el área de la retina conocida como mácula lo que produce su engrosamiento, sus síntomas son inflamación y visión borrosa.

Glaucoma
El glaucoma es un grupo de enfermedades que afectan el nervio óptico. Este se encarga de enviar las señales captadas por la retina al cerebro donde se transforman en las imágenes que vemos; la diabetes es uno de los principales factores de riesgo de este padecimiento.
En un ojo sano, el humor acuoso circula dentro de la parte frontal del ojo para mantener una presión constante y normal dentro de él. En el glaucoma esto no sucede correctamente con lo que se altera la presión al interior del ojo y aparecen daños al nervio óptico que producen una pérdida gradual de visión si no hay tratamiento.

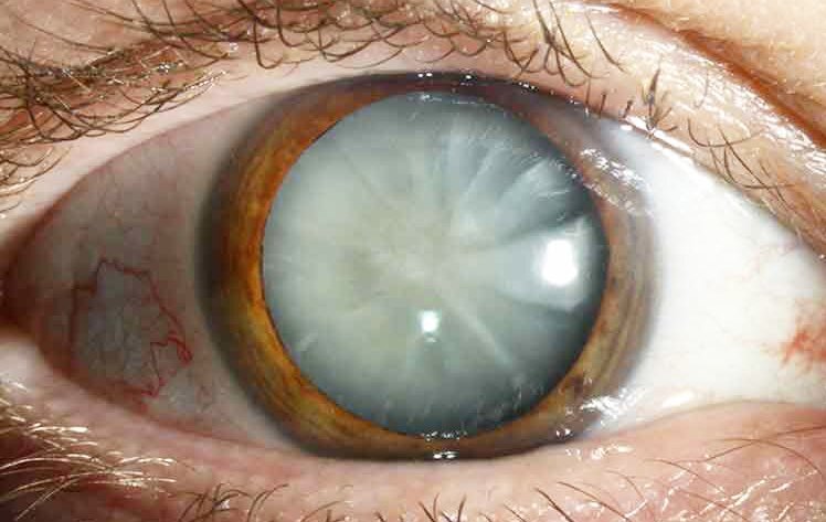
Catarata
Las cataratas no se asocian solamente con la edad: de hecho, la diabetes es uno de sus factores de riesgo debido a las altas concentraciones de glucosa en la sangre. Este padecimiento afecta al cristalino del ojo causando una opacidad total o parcial que obstruye la visión. Algunos de sus principales síntomas son visión borrosa, dificultad para reconocer los colores y luces o brillos alrededor de las imágenes.
La opacidad del cristalino causada por la diabetes puede prevenirse con un control constante de los niveles de azúcar en sangre y de la salud visual mediante estudios especializados para evitar la pérdida de visión o bien, en todo caso, tratarse con cirugía de catarata. El resultado visual de la cirugía de catarata en los pacientes diabéticos es mejor si las estructuras intraoculares (retina y nervio óptico) están en buen estado.
¿Cómo prevenir las enfermedades oculares diabéticas?
Sin duda alguna la detección temprana es la clave para prevenir el desarrollo de los padecimientos oculares relacionados con la diabetes y la pérdida de visión. En primer lugar, es importante mantener bajo control los niveles de glucosa en la sangre con dieta y ejercicio físico, pero también es crucial acudir con un oftalmólogo para realizar estudios especializados que permitan conocer del estado de la salud visual respecto a la diabetes.
En APEC contamos con oftalmólogos especializados y con la mejor tecnología e insumos de México para realizar estudios completos y prevenir la ceguera causada por la diabetes.
No dejes que la diabetes afecte la salud visual: agenda ya una cita con nosotros para ti o un familiar dando clic aquí.
Fuente:https://www.aao.org/salud-ocular/enfermedades/la-enfermedad-ocular-diabetica




